Пацієнтка отримала важку високоенегетичну травму і була доставлена бригадою швидкої допомоги в приймальне відділення нашої лікарні.
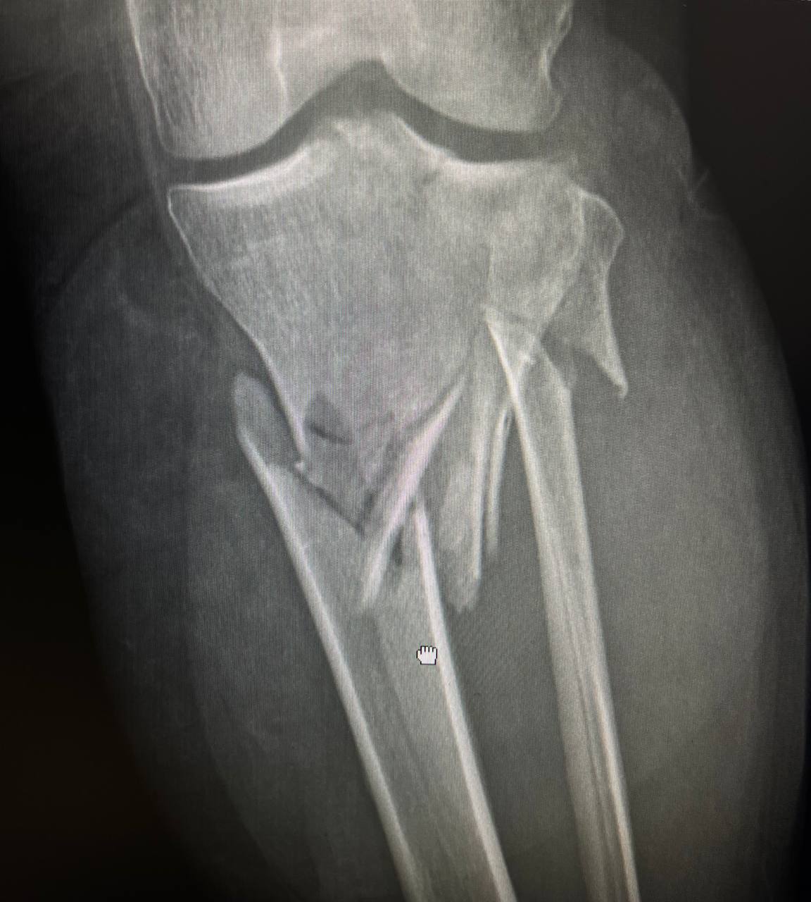
Під час обстежень було діагностовано багатоуламковий перелом в/3 лівої гомілки.
На момент поступлення у пацієнтки наявні симптоми розвитку компартмент-синдрому, це стан при якому набряк мʼяких тканин настільки сильний, що вони починають здавлювати самі себе, що може призвести до важких ускладнень в тому числі і ампутації . Тому при поступленні пацієнтці було проведено ургентну операцію – стабілізацію перелому апаратом зовнішньої фіксації та фасціотомію.
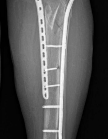
Післяопераційний період проходив без ускладнень і на 10 день після поступлення було проведено наступне етапне оперативне втручання: відкрита репозиція, металоостеосинтез пластинами.
Пацієнтка якісно провела реабілітацію і вже зараз починає навантажувати травмовану кінцівку, щоб згодом повернутися на роботу!
Операційна бригада: Адамик П., Літвинов І., Заєць О.
Анестезіолог: Гнип Н.
Операційна мед.сестра: Михайлишин О.
Рентген-асистенція: Ядушинськиц В.




